10 年
手机商铺
公司新闻/正文
8352 人阅读发布时间:2020-10-22 15:54
免疫组化,是应用免疫学基本原理——抗原抗体反应,即抗原与抗体特异性结合的原理,通过化学反应使标记抗体的显色剂(荧光素、酶、金属离子、同位素)显色来确定组织细胞内抗原(多肽和蛋白质),对其进行定位、定性及相对定量的研究。
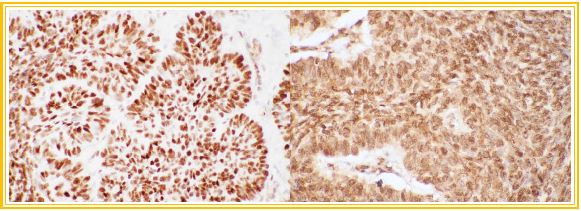
然而理想是丰满的,实际操作起来却是骨感的,作为一种分析方法,常常会存在非特异着色的背景问题。下图中靶点均为胞膜定位,左边背景着色严重,右边染色效果优良。

01 抗体质量问题
抗体本身在靶点设计上如果特异性不够,会导致非特异着色。一般来说,单抗在特异性上相比多抗是具有优势的,但多抗由于识别任一抗原上的多个表位,多抗可放大低表达水平靶蛋白的信号,对微小抗原变化(例如多态性、糖基化异质性或者轻微变性)的包容性更强,可用于非免疫原物种的靶蛋白的检测实验。具体实验时,还应根据实际需要选择合适的抗体。另外,抗体保存也应注意防腐及防止反复冻融。
02 内源性酶和生物素
当选用肝、肾,脾组织作为样本时,由于这些组织本身含有较高含量的过氧化酶和生物素,对于使用Hrp或生物素-亲和素显色系统的实验都会造成非特异性染色。对于内源性过氧化物酶,可以用 0.9% 的双yang水来灭活。对于内源性生物素,染色前将切片浸于 25 μg/mL 亲和素溶液中 15 分钟,PBS 清洗 15 分钟后即可染色。也可以 24 mg/mL 的卵白素封片 15 分钟。
03 抗体浓度过高
获得良好的染色结果,一般应优化一抗的使用浓度,可参考供应商提供的说明书,但预实验也是必不可少的,摸索出最理想的工作浓度。
04 DAB 染色时间太长/变质
DAB 的作用时间过长,同样会造成背景。DAB 的显色时间不是一成不变的,实验时应及时镜检,出现浅棕色时,马上冲洗。出现棕色的时间过短,表明抗体浓度过高;出现棕色的时间过长,表明抗体有效浓度过低。DAB 要保存于避光干燥的地方,现用现配,临用前才加入 H2O2。下图分别为同一指标显色正常(左)和过度(右)的效果对比。

05 组织变干
另外,整个实验过程中应保持样本表面和外围湿润,避免因试剂流失导致背景的产生。显色时,一次不要同时染过多张片子,可分批显色。
06 浸泡时间过长
切片应避免在缓冲液或修复液里面浸泡过夜,整个实验过程应是连贯的,减少非必要程序和未知因素干扰。
07 清洗不充分
抗体孵育后的清洗应充分,PBS 使用前应确定 pH 值,必要时可添加 Tween-20 增加洗涤强度。
08 封闭问题
免疫组化一般使用血清稀释液进行封闭,为排除二抗本身造成的非特异吸附,可使用二抗动物的非免疫血清,例如二抗是羊抗兔,就要选择非免疫羊血清。用PBS稀释为 3-10% 的溶液孵育切片,37 °C 10-30 分钟,封闭后不用清洗,直接甩掉即可。另外组织固定后可能会残留部分游离醛基,在孵育抗体过程中也可能产生非特异结合,此时可使用 0.3M 甘氨酸进行封闭。
以上就是免疫组化实验中常见的背景着色的原因,希望对大家的实验结果改进有帮助。
菲恩生物提供经过实验验证的高品质抗体,主要包括:单抗、多抗、标记二抗、内参/标签抗体、乙酰化/磷酸化抗体等。这些抗体主要应用于胞内和胞外蛋白的鉴定、定量及定位研究、流式细胞实验、免疫沉淀和免疫共沉淀、Western blot、免疫组化、免疫荧光等实验。菲恩生物抗体都经过严格测试以保证其纯度和质量,并且价格公道,始终致力于提高抗体的质量和种类以加快您的研究进程。
菲恩生物部分热销抗体如下表
